Walk-In Dentist Near Me in Romeoville: Do You Need an Appointment?

Walk-In Dentist Near Me in Romeoville: Do You Need an Appointment? If you’re searching walk-in dentist near me in Romeoville, Valley View Dental welcomes walk-in patients and will do our best to get you seen the same day. For dental emergencies specifically: pain, swelling, broken teeth — we guarantee you will be seen. Call us […]
Teen Orthodontics in Naperville: Braces vs Invisalign for Teens

Teen Orthodontics in Naperville: Braces vs Invisalign for Teens If you’re exploring teen orthodontics in Naperville, you’re likely navigating two conversations at once, your teen’s preferences about how their braces will look and feel, and your own priorities around effectiveness, reliability, and cost. At Valley View Dental, we offer multiple options for teen orthodontics in […]
Affordable Orthodontics in Montgomery: Options for Families

Affordable Orthodontics in Montgomery: Options for Families If you’re researching affordable orthodontics in Montgomery, you’re probably trying to figure out how to make treatment work financially without compromising on quality. The good news is that at Valley View Dental, we offer a full range of orthodontic options for patients of all ages, and several ways […]
Emergency Tooth Extraction in Naperville: What to Expect

Emergency Tooth Extraction in Naperville: What to Expect If you need an emergency tooth extraction in Naperville, call Valley View Dental now at (630) 491-8553. We guarantee same-day appointments for dental emergencies, and our team will make sure you’re comfortable and informed every step of the way. When Is a Tooth Extraction Actually Necessary? We […]
Invisalign vs Braces in Montgomery: Which Is Right for You?

Invisalign vs Braces in Montgomery: Which Is Right for You? If you’re weighing Invisalign vs braces in Montgomery, you’re asking the right question, because the best choice genuinely depends on your age, lifestyle, the complexity of your case, and what you want your day-to-day treatment experience to look like. At Valley View Dental, we offer […]
Family Dentist Near Me in Romeoville for Busy Households

Family Dentist Near Me in Romeoville for Busy Households If you’re searching for family dentist near me in Romeoville, Valley View Dental has been helping busy Romeoville households manage their family’s dental care for over 20 years. We see patients of all ages, offer same-day family scheduling, and make it genuinely easy to keep everyone’s […]
Same-Day Emergency Dentist in Naperville: What to Do When You Have Tooth Pain

Same-Day Emergency Dentist in Naperville: What to Do When You Have Tooth Pain If you’re dealing with sudden tooth pain, call Valley View Dental Naperville now at (630) 491-8553. We offer guaranteed same-day appointments for dental emergencies, because when you’re in pain, waiting isn’t an option. Don’t Wait It Out — Dental Pain Is Telling […]
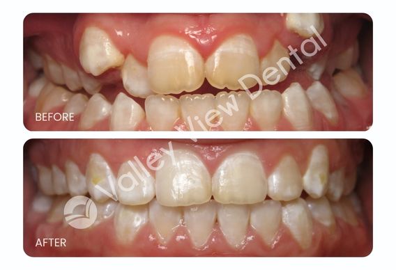
Braces for Kids in Romeoville: When Should You Start?

Braces for Kids in Romeoville: When Should You Start? If you’re a parent wondering about braces for kids in Romeoville, you’re not alone. The two questions we hear most often are: “Is my child too young?” and “Did we wait too long?” The honest answer is that timing varies for every child, but getting an […]
Why Choosing a Local Dentist Near Me Matters (Romeoville + Surrounding Areas)

Why a Local Dentist Near Me Matters When you search for a dentist near me in Romeoville, you’re not just looking for whoever is closest, you’re looking for a practice you can count on year after year. At Valley View Dental, we’ve been doing exactly that for over 20 years. We’re not a chain, not […]
Best Dentist Near Me in Naperville for Busy Professionals

Best Dentist Near Me in Naperville for Busy Professionals If you’re searching for the best dentist near me in Naperville for busy professionals, Valley View Dental offers the scheduling flexibility and efficient care that fits around a demanding schedule, not the other way around. We offer early morning, late evening, and Saturday appointments, so you […]